دراسات علمية جديدة تكشف أن فيروس كوفيد-19 يغيّر وظائف الدماغ حتى بعد التعافي

كشفت دراسة علمية جديدة أجراها باحثون من المركز الوطني لعلم المناعة العصبية والأمراض الناشئة بجامعة غريفيث أن الإصابة بفيروس كوفيد-19 قد تؤدي إلى تغيّرات مستمرة في وظائف الدماغ، حتى بعد التعافي السريري الكامل من المرض.
وأظهرت النتائج، التي نُشرت في مجلة علمية متخصصة، أن العدوى تترك آثارا قابلة للقياس في الجهاز العصبي المركزي، حتى لدى الأشخاص الذين لا يعتبرون أنفسهم مرضى بعد الآن.
تصوير الدماغ يكشف فروقا دقيقة

تأثير فيروس كوفيد-19 على الدماغ ( مصدر الصورة: Eurekalert.org )
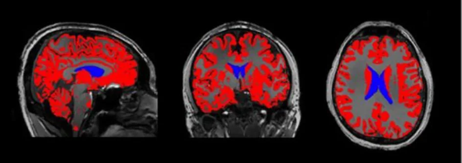
اعتمد الباحثون على التصوير بالرنين المغناطيسي عالي الدقة (MRI) لمقارنة أدمغة أشخاص أُصيبوا سابقا بكوفيد-19 مع آخرين لم يتعرضوا للفيروس ، واستخدم الفريق ما يُعرف بـالتصوير متعدد الأنماط، وهي تقنية متقدمة تسمح بتحليل:
بنية أنسجة الدماغ
التغيرات الكيميائية العصبية
نشاط المادة الرمادية والبيضاء
وتركز التحليل على المناطق المسؤولة عن:
الذاكرة
التركيز والانتباه
الوظائف الإدراكية العليا
تغيّرات حتى دون أعراض مستمرة
أظهرت نتائج التصوير وجود اختلافات واضحة في:
بنية أنسجة الدماغ
شدة الإشارات العصبية
التوازن الكيميائي العصبي
ولم تقتصر هذه التغيرات على المصابين بـكوفيد طويل الأمد (Long COVID) فقط، بل ظهرت أيضا لدى أشخاص لا يعانون من أي أعراض حالية ويعتقدون أنهم تعافوا بشكل كامل.
علاقة مباشرة بين شدة الأعراض والتغيرات الدماغية
لاحظ الباحثون أن درجة التغيرات في الدماغ كانت مرتبطة بشكل مباشر بـشدة الأعراض المستمرة لدى مرضى كوفيد طويل الأمد.
كلما زادت حدة الأعراض ، وزادت وضوح التغيرات في أنسجة الدماغ
ويشير ذلك إلى أن الفيروس قد يُحدث تأثيرا طويل الأمد على الدماغ، حتى في غياب مؤشرات سريرية واضحة.
تفسير علمي لمشكلات ما بعد كوفيد
تساعد هذه النتائج في تفسير سبب معاناة بعض الأشخاص بعد الإصابة بكوفيد-19 من:
ضعف التركيز
مشكلات الذاكرة
تشوش التفكير أو ما يُعرف بـ«ضباب الدماغ»
وقد تظهر هذه الأعراض مباشرة بعد المرض أو بعد أشهر وحتى سنوات من التعافي الظاهري.
تشير الدراسة إلى أن كوفيد-19 ليس مجرد مرض تنفسي مؤقت، بل قد يكون له تأثيرات عصبية طويلة المدى تستدعي مزيدا من المتابعة الطبية والبحث العلمي، حتى لدى الأشخاص الذين لم تظهر عليهم أعراض خطيرة.
المصدر: النهضة نيوز